Angio-/ Fluoreszenzangiographie
Innovative Diagnostik in Ihrer Augenarztpraxis in Baden-Baden.
Innovative Diagnostik in Ihrer Augenarztpraxis in Baden-Baden.
Die Fluoreszenzangiografie dient der Gefäßdarstellung des Augenhintergrundes (Retina) und der Netzhautmitte (Makula) nach Injektion eines fluoreszierenden Farbstoffes in die Armvene.
Die Fluoreszenzangiografie erlaubt eine sehr viel genauere Untersuchung des Gefäßsystems des Augenhintergrunds als die normale Fundusfotografie.
Um diese Untersuchung durchführen zu können, verfügt unsere Praxis seit 2010 über eine neuartiges Untersuchungssystem der Fa. Heidelberg engineering. Diese HRA 2 Kamera verbindet die Technik des konfokalen Laser scanning ophthalmoscop mit einer neuartigen Fluorenszenzdetektion in einem Gerät.
Die Vorteile dieser Technik ermöglichen extrem genaue und mit minimaler Lichtbelastung des Patientenauges einhergehende Ergebnisse, trotz schlechten optischen Verhältnissen (z. B. Grauer Star, enger Pupille), ermöglicht das HRA 2 System immer noch hochexakte Ergebnisse.
Nach der Injektion von Fluoreszeinnatrium in eine Hand oder Armvene werden mittels der HRA 2 Kamera digitale Bilder falls nötig im Sekundentakt des Augenhintergrunds in Schwarzweißtechnik gemacht.
Mit den Ergebnissen der HRA 2 Fluoreszenzangiografie lassen sich sämtliche Veränderungen der Durchblutung oder undichte Stellen innerhalb der Netzhaut und des Gefäßsystems mit / ohne Schwellung am Augenhintergrund hervorragend erkennen.
Störungen wie sie nach Gefäßverschlüssen oder bei diabetischen Netzhauterkrankungen vorkommen, auch Gefäßanomalien und Gefäßneubildungen lassen sich wesentlich besser erkennen. Damit ist die Entscheidung für eine eventuell erforderliche Behandlung (Laserung / IVOM) der Netzhaut sicherer zu treffen.
Mit dieser Technik kann über die heutigen Therapiemöglichkeiten besser entschieden werden. Diese Untersuchungsergebnisse ermöglichen so die Entscheidung zwischen eine intraoperativen medikamentösen Medikamentenapplikation (IVOM), Lasertherapie oder Operationen. Auch zur Erkennung von Gefäßneubildungen der Aderhaut im Rahmen der Makuladegeneration ist die Fluoreszenzangiografie zwingend erforderlich.
Das berührungslose Ultra-Weitwinkel Angiographie Objektiv/Modul erfasst mit nur einer einzigen Aufnahme fast die gesamte Netzhaut vom Zentrum bis zur äußeren Peripherie. Es erlaubt gleichmäßig ausgeleuchtete und selbst in der Peripherie abbildungstreue Angiographiebilder mit hohem Kontrast aufzunehmen(siehe Aufnahme 2 rechts). Das Objektiv kann leicht an jedem SPECTRALIS oder HRA2 angebracht werden und gegen die vorhandenen Normalobjektive ausgetauscht werden. Klinisch relevante periphere Änderungen wie z.B. Mikroaneurysmen, Neovaskularisationen, perivaskuläre Leckagen oder ischämische Gebiete können so umfassend erkannt und beobachtet werden. Diese Technik gibt uns Augenärzten weltweit erstmals die Fähigkeit Gefäßveränderungen innerhalb der peripheren Netzhaut darzustellen und so eine neue diagnostische Möglichkeiten für unsere Patienten einzusetzen.
HRA 2 Kamera
Kontrollangiographie bei Zustand nach Venenthrombose mit Normalobjektiv
Weitwinkel Fluorangiographie (gleiches Auge)
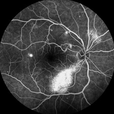
Messergebnis Fluorangiographie der Netzhaut
Messergebnis Darstellung von Aderhaut und Netzhautgefäßen